Man dies after tapeworm infection from consuming pork
A man died after eating under-cooked pork caused parasitic larvae to invade his brain.
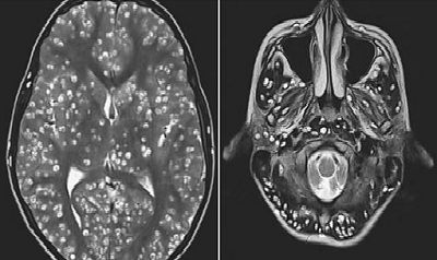
An MRI brain scan revealed the patient had cysts throughout his brain, with the damage being consistent with the life-threatening condition neurocysticercosis.
Neurocysticercosis occurs when parasitic larvae found in under-cooked pork build-up in the body until they invade the central nervous system, triggering seizures.
Despite doctors' best efforts to save him, the man died two weeks later.
The case report was written up in The New England Journal of Medicine by Dr Nishanth Dev, of ESIC Medical College, Faridabad, in the north Indian state of Haryana. Dr Dev treated the patient.
The man was rushed to ESIC Medical College after he endured tonic-clonic seizures.
These occur when an electrical discharge affects the entire brain and cause a patient to lose consciousness immediately.
Tonic-clonic seizures usually last one-to-three minutes.
If they continue for more than five minutes or in quick succession, the patient may require life-saving treatment.
Once at
This is common of tonic-clonic seizures, with most patients feeling tired and disorientated for up to several days or even weeks after.
The man's parents reported he had been complaining of pain in his groin for the past week.
A physical examination also revealed he had swelling in his right eye, as well as tenderness in his right testicle.
An MRI scan showed the patient had numerous cysts in his cerebral cortex - the outermost layer of the brain, which is responsible for thinking and processing information collected via our five senses.
Lesions were also in his brain stem, which is at the base of the vital
And cysts were found in his cerebellum - the area at the back of the brain that coordinates voluntary movements, like posture, speech and coordination.
Doctors noted the extent of the man's brain damage was consistent with that of neurocysticercosis.
Neurocysticercosis occurs when the parasitic larvae Taenia
Serum tests confirmed the man was infected with T.
Doctors decided against treating him with antiparasitic drugs due to them typically worsening inflammation in those who have cysts in their brain.
These medications can also cause cerebral
The man was therefore treated with the anti-inflammatory steroid dexamethasone, which is more commonly used to relieve conditions like allergies, arthritis and psoriasis.
He was also given anti-epilepsy drugs.
Sadly, however, it was not enough to save him.

